Hadron Therapy Simulation App for Lung Cancer: An Educational Tool for Treatment Planning
Radiation therapy is a key cancer treatment, used in over 50% of cases, either as a standalone or in combination with surgery and chemotherapy. It involves delivering ionizing radiation to damage cancer cell DNA, preventing their proliferation. Conventional radiotherapy mainly employs X-ray beams, which scatter and affect healthy tissues. Hadron therapy, however, maximizes the dose to cancer cells while minimizing exposure to healthy cells by using charged particles like protons or carbon ions. These particles travel with minimal scattering and deposit most of their energy at a specific depth, known as the Bragg peak.
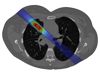
In this study, the COMSOL Application Builder was used to design a user-friendly and accessible GUI for exploring complex radiation dose distributions without requiring simulation expertise. Users, typically at the high school level, can explore core physics principles such as particle–tissue interactions, energy deposition (dose), beam energy and intensity, and the superposition of multiple beams. Users can select from a variety of realistic medical images, specify the size and location of the target region, adjust parameters such as beam energy, particle type, or intensity profiles, and select multiple beam rotation intervals to find an optimal treatment plan that maximizes tumor dose while minimizing exposure to healthy tissue. A built-in optimizer assists in this process.
Anatomical geometries were obtained from thoracic CT scans available in the publicly accessible LIDC-IDRI database. Using ITK-SNAP, the lungs and surrounding tissue were segmented and converted into COMSOL geometries via the Image-to-Curve add-in, which allows assigning different attenuation properties. The 2D FEM model is implemented in COMSOL Multiphysics® and the Particle Tracing Module. Proton beam depth-dose curves are modeled with a simplified Bragg peak description following Krämer & Scholz (2000), while photon attenuation obeys the Beer-Lambert law.
Developed as an interactive educational tool, this app combines realistic anatomical data and physics-based modeling to provide an accessible introduction to radiation treatment planning. The app can assist teachers in illustrating physical principles behind proton therapy, highlighting the importance of accurate beam placement for effective and safe cancer treatment.
