COMSOL Conference 2025 Proceedings
Vom Program Committee akzeptierte Sammlung von Beiträgen, Postern und Präsentationen
Auf der COMSOL Conference 2025 stellten Ingenieure, Forscher und Wissenschaftler aus aller Welt ihre Nutzung von Modellierung und Simulation in allen wichtigen Branchen und im akademischen Bereich vor. Verwenden Sie die Schnellsuche, um eine bestimmte Präsentation zu finden, oder filtern Sie nach Thema oder Veranstaltungsort. ISBN: 978-1-7364524-3-1
The knowledge of the acoustical transfer paths in active noise control systems is very important for the performance of the system. Unfortunately, simulation is challenging since even simple configurations require comprehensive experience in physics and modeling. Two test setups were ... Mehr lesen
The UK Advanced Gas-cooled Reactor fleet, operated by EDF Energy, utilize a graphite core consisting of a lattice of around 3000 annular bricks. Due to irradiation, oxidation and thermal effects, the bricks deform and loose mass as they age. Of key concern is the late-life behavior of ... Mehr lesen
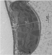
Photosynthesis can be defined as the conversion of solar energy into chemical energy. In green plants, this applies to the conversion of CO2 into organic compounds. The energy stored in these compounds can later be used to supply energy to run physical and chemical processes in plant ... Mehr lesen
There has been a growing interest in optical parametric amplifiers (OPA) for light generation and amplification in because of the possibility for arbitrary operation wavelength and wideband tenability [1]. PCFs are of particular interest in such nonlinear optics applications because of ... Mehr lesen
Studies of the liquid metal movement (hydrodynamic) in a real object (tundish) are substantially precluded due to the objective difficulties (high temperature and the size of metallurgical equipment), compared to their execution by the use of physical and numerical modeling. In presented ... Mehr lesen
Calculations were carried out for the water model of the investigated tundish, represented on a scale 1:3. Numerical calculations enable to estimate the fluid flow velocities, pahtlines and other parameters. Calculations were done for two different grids. Based on the results, the flow ... Mehr lesen
In this paper, we present a 2D axisymmetric self-consistent plasma fluid model for microwave plasmas operating in argon. The model was developed using COMSOL Multiphysics and its Plasma Module. Plasma, flow, heat and electromagnetic equations solved self-consistently. The effect of the ... Mehr lesen
Today a horn driver developing is still time and cost consuming. In addition compression driver behavior depends by the horn profile. In this study is proposed a new technique to model a combination of an existing compression driver and a virtual horn, in order to predict the horn driver ... Mehr lesen
This paper introduces an efficient model to describe energy dissipation in acoustic. When the propagation domain has hard wall boundary conditions only viscous and thermal losses happen and are completely described by the so-called Full Linearized Navier-Stokes model (FLNS) which is ... Mehr lesen
Two Anode Surface processes are examined : Formation of Solid Electrolyte Interphase (SEI) and heating due to Shuttle Current. During charging, higher order sulfur species are reduced at the anode surface, while they are concurrently being oxidized at the cathode. This leads to the ... Mehr lesen
